CURE
세계인류의 건강 증진에 기여합니다.
미래 줄기세포 치료제의 글로벌 리더입니다.
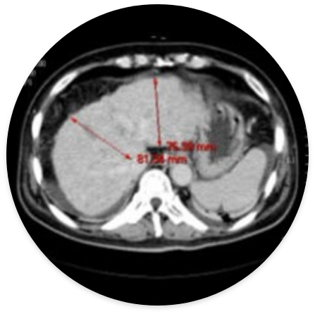
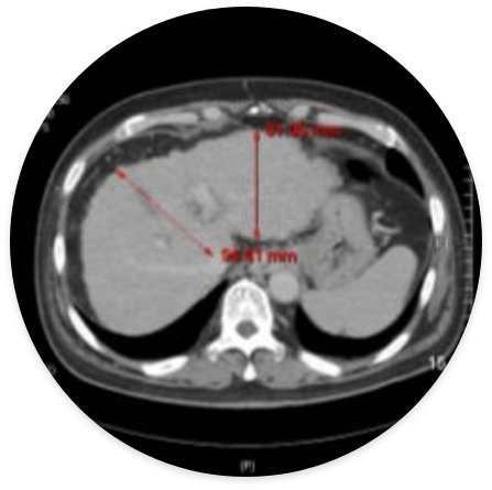
우리 몸 안의 각종 세포들로 분화할 수 있는 특수한 능력, 즉 다중 분화능력을 가진 줄기세포를 활용하여 손상된 간세포를 재생해주는 첨단시술법이다. 인체면역거부 반응의 위험에서 상대적으로 안전한 환자 본인의 줄기세포를 간 동맥에 직접 주입해 이식된 줄기세포가 새로운 간 조직으로 재생되어 간경화를 개선시켜주고, 복수가 감소하며, 간의 기능이 개선된다.


출 처 <Kintaro Cells Power International>
간경변 (59세 남성) – 시술 후 간세포가 재생되어 간의 크기가 증가하고 간 조직이 부드러워짐