CURE
세계인류의 건강 증진에 기여합니다.
미래 줄기세포 치료제의 글로벌 리더입니다.
관절염은 관절에 세균 침투나 외상 등으로 관절 내에 염증이
생긴 질환을 총칭하는 병명이다. "수술하지 않고 간단한 주사
한 방으로 관절염을 치료할 수는 없을까?" 중증 관절염
환자들의
이런 욕구에 부합하는 줄기세포 치료제가
개발돼 주목 받고 있다.
환자 본인의 지방조직에서 추출한
줄기세포를 배양해
세포 수를 늘린 후 최적의 세포를 골라
관절염 부위에 주입하면
연골조직이 재생되고, 관절염에
효과가 있다.
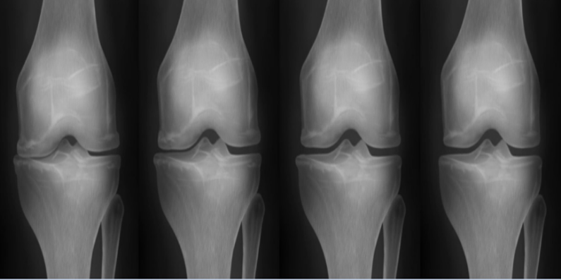
줄기세포 시술 전후 관절 X-ray
줄기세포 시술 전후 관절 내시경